Un sorriso curato e luminoso è considerato da molti un elemento fondamentale per trasmettere sicurezza, professionalità e benessere. Non sorprende quindi che sempre più persone scelgano di rivolgersi all’odontoiatria estetica per migliorare l’aspetto dei propri denti. Tra i trattamenti più richiesti vi sono le faccette dentali, sottili lamine applicate sulla parte anteriore dei denti che permettono di correggere rapidamente numerosi difetti estetici, regalando un sorriso armonioso e dall’aspetto naturale.
Cosa sono e come funzionano le faccette dentali
Le faccette dentali sono sottilissimi gusci in ceramica o in composito che vengono cementati in modo permanente sulla superficie visibile del dente. Il loro spessore è minimo, in genere compreso tra 0,3 e 0,7 millimetri, ma nonostante la sottigliezza hanno una grande resistenza. Ogni faccetta viene progettata e realizzata su misura, in base al colore, alla forma e alle proporzioni del sorriso del paziente, così da garantire un risultato perfettamente integrato con il resto della dentatura.
Il principio è semplice: anziché intervenire in maniera invasiva sul dente naturale, la faccetta lo ricopre e ne migliora immediatamente l’estetica. Questo rende il trattamento minimamente invasivo e molto più rapido rispetto ad altre alternative come l’ortodonzia o le ricostruzioni estese.
Quali difetti possono correggere
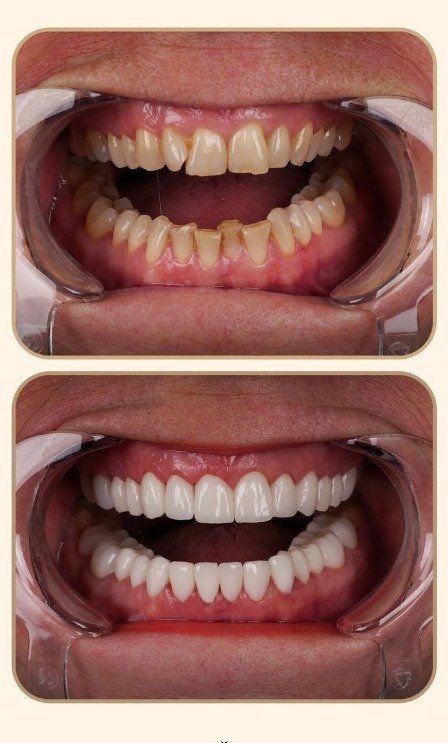
Le faccette sono estremamente versatili e vengono utilizzate per risolvere una vasta gamma di imperfezioni. Sono indicate in caso di denti macchiati o ingialliti che non rispondono ai trattamenti di sbiancamento, di denti scheggiati o consumati, di spazi interdentali troppo evidenti (diastemi) o di denti leggermente disallineati. Molti pazienti le scelgono anche per migliorare la forma e le proporzioni del sorriso, ottenendo un effetto estetico globale che prende il nome di “smile makeover”.
Questa capacità di trasformazione rende le faccette uno strumento potente non solo per correggere difetti isolati, ma anche per rinnovare completamente l’aspetto del sorriso in pochi appuntamenti.
Vantaggi delle faccette dentali
Il primo grande vantaggio è la rapidità: in sole due o tre sedute si può passare da un sorriso compromesso a un sorriso perfetto. A differenza di apparecchi ortodontici o trattamenti complessi, le faccette offrono un risultato immediato e duraturo.
Un altro aspetto fondamentale è la naturalezza del risultato. Le faccette in ceramica, grazie alla loro traslucenza, riflettono la luce nello stesso modo dello smalto naturale, rendendole praticamente indistinguibili dagli altri denti. Inoltre, resistono bene alle macchie causate da caffè, vino o tabacco, mantenendo la loro brillantezza nel tempo.
Oltre ai benefici estetici, non va sottovalutato l’impatto psicologico: migliorare il sorriso significa aumentare l’autostima, sentirsi più sicuri in contesti sociali e professionali e vivere con maggiore serenità i rapporti interpersonali.
Il percorso del trattamento
Il processo inizia con una visita di valutazione, durante la quale il dentista analizza le esigenze del paziente e discute le aspettative estetiche. Oggi, grazie alla tecnologia digitale, è possibile mostrare in anticipo una simulazione del risultato finale, permettendo al paziente di “provare” virtualmente il nuovo sorriso.
Dopo la fase di pianificazione, si procede con una minima preparazione dei denti: in alcuni casi non è nemmeno necessario limare lo smalto, in altri si effettua una leggera riduzione per permettere l’applicazione della faccetta. Vengono quindi prese impronte digitali o tradizionali, inviate al laboratorio che realizza le faccette su misura. Una volta pronte, vengono applicate con cementi adesivi di ultima generazione che assicurano stabilità e resistenza.
L’intero percorso può concludersi in poche settimane e i risultati sono immediatamente visibili già dal primo giorno di applicazione.
Durata e manutenzione
Le faccette dentali hanno una durata media che varia dai 10 ai 15 anni, ma possono durare anche di più se il paziente adotta buone abitudini di igiene orale. È fondamentale spazzolare i denti regolarmente, usare il filo interdentale, effettuare controlli periodici e sottoporsi a sedute di igiene professionale.
È bene evitare comportamenti che possano danneggiarle, come mordere oggetti duri o utilizzare i denti come strumenti. Nei pazienti che soffrono di bruxismo, l’utilizzo di un bite notturno è altamente consigliato per proteggere le faccette e i denti naturali dall’usura eccessiva.
Conclusione
Le faccette dentali rappresentano una soluzione moderna, rapida ed efficace per trasformare il sorriso in maniera naturale. Sono in grado di correggere imperfezioni, uniformare il colore e la forma dei denti e regalare un aspetto più armonioso e luminoso in pochissimo tempo. Per chi desidera un cambiamento significativo senza dover affrontare trattamenti lunghi e invasivi, le faccette costituiscono la risposta ideale. Con una manutenzione adeguata e un’attenta pianificazione da parte del dentista, i risultati possono durare per molti anni, offrendo non solo un sorriso più bello ma anche maggiore sicurezza e qualità di vita.
