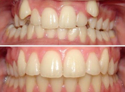
Ortodonzia
Presso ES Dental Albania, crediamo che tutti meritino un sorriso di cui essere orgogliosi. L’ortodonzia è una branca specializzata dell’odontoiatria che si occupa della diagnosi, prevenzione e trattamento delle irregolarità dentali e facciali, comprese le malocclusioni e i disallineamenti dentali e mandibolari. Che si tratti di denti affollati, morso eccessivo, morso inverso o altri problemi di allineamento, il trattamento ortodontico può aiutarti a ottenere il sorriso che hai sempre desiderato.
Il nostro team di ortodontisti esperti è dedicato a fornire cure personalizzate a pazienti di tutte le età, utilizzando tecniche e tecnologie all’avanguardia per garantire i migliori risultati possibili.
Che cos'è l'Ortodonzia?
L’ortodonzia è un ramo della odontoiatria che si concentra sulla correzione delle irregolarità dentali, come denti storti, morsi non allineati e problemi della mascella. Utilizzando vari dispositivi, tra cui apparecchi ortodontici, mascherine e aligner, il trattamento ortodontico può aiutare a allineare i denti e migliorare l’aspetto del viso, la funzionalità orale e la salute dentale complessiva.
L’obiettivo dell’ortodonzia non è solo cosmetico, ma si tratta di ottenere un morso corretto, che migliora sia l’aspetto che la funzionalità. Un sorriso ben allineato può migliorare la capacità di masticare, parlare e pulire i denti, riducendo il rischio di sviluppare altri problemi dentali.
Perché scegliere l'ortodonzia?
L’ortodonzia può portare numerosi benefici, sia funzionali che estetici. Ecco alcune ragioni per cui il trattamento ortodontico è una scelta vantaggiosa:
- Estetica migliorata: Il trattamento ortodontico può migliorare l’aspetto del tuo sorriso, donandoti un aspetto più attraente e sicuro di te.
- Migliore salute orale: I denti storti o disallineati possono essere più difficili da pulire, aumentando il rischio di carie, malattie gengivali e altri problemi di salute orale. Il trattamento ortodontico può aiutare a riallineare i denti, rendendoli più facili da pulire e mantenere.
- Funzionalità migliorata: I denti disallineati possono causare problemi con il morso, la masticazione e la parola. Correggere questi problemi migliora la funzionalità orale complessiva.
- Prevenzione di problemi futuri: Un trattamento ortodontico precoce può prevenire problemi dentali più gravi in futuro, inclusi l’usura dei denti, il dolore alla mascella e difficoltà nella masticazione.
- Aumento della fiducia in sé: Un sorriso dritto può avere un impatto positivo sull’autostima, facendoti sentire più sicuro in situazioni sociali e professionali.
Chi è un candidato per il trattamento ortodontico?
Il trattamento ortodontico è adatto sia per bambini che per adulti. L’intervento precoce nei bambini è spesso vantaggioso, poiché può aiutare a prevenire problemi di allineamento più gravi in seguito. Tuttavia, anche gli adulti possono beneficiare dell’ortodonzia, con molti che ottengono ottimi risultati con apparecchi tradizionali o allineatori trasparenti come Invisalign.
I comuni problemi ortodontici che possono essere trattati includono:
- Denti affollati
- Spazi tra i denti
- Sovraccarico, morso inverso o morso crociato
- Mandibola disallineata
- Denti storti o ruotati
Tipologie di Ortodonzia
L’ortodonzia è la branca della odontoiatria che si occupa di correggere malocclusioni, disallineamenti e problemi di estetica dentale. Esistono diverse tipologie di trattamento ortodontico, scelta in base alle esigenze del paziente e alla complessità del caso.
Principali tipologie di ortodonzia
- Ortodonzia fissa: Sono apparecchiature incollate ai denti, composte da bracket (piccole staffe) e fili metallici o ceramici che guidano gradualmente i denti nella posizione corretta.
- Ortodonzia mobile:Ortodonzici rimovibili come il bite, gli allineatori trasparenti o gli apparecchi intercettivi.
- Allineatori trasparenti: Serie di mascherine in oricalco trasparente, come Invisalign, progettate su misura e sostituite periodicamente.
- Ortognatodonzia chirurgica: Interventi correttivi per anomalie scheletriche severe, come prognatismo o retrognatismo, spesso associata ad apparecchiature ortodontiche.
Inizia oggi il tuo percorso ortodontico!
Se sei pronto a trasformare il tuo sorriso e migliorare la tua salute orale, prenota una consulenza con il nostro team ortodontico presso ES Dental Albania. Che tu sia interessato a apparecchi tradizionali, Invisalign o altre opzioni, ti aiuteremo a scegliere il trattamento più adatto a te. Inizia oggi il tuo percorso verso un sorriso bello e sano!
FAQs
Che cos’è l’ortodonzia?
L’ortodonzia è la branca dell’odontoiatria che si occupa di correggere la posizione dei denti e delle ossa mascellari. L’obiettivo è migliorare non solo l’estetica del sorriso, ma anche la funzionalità della masticazione e la salute orale complessiva.
A che età è meglio iniziare un trattamento ortodontico?
Nei bambini, una prima visita è consigliata già intorno ai 6–7 anni, quando iniziano a spuntare i denti permanenti. Negli adulti non ci sono limiti di età: i denti si possono spostare con successo anche in età avanzata.
Quali tipi di apparecchi ortodontici esistono?
Oggi esistono diverse opzioni: gli apparecchi fissi tradizionali con attacchi metallici o estetici, gli apparecchi mobili e le mascherine trasparenti come Invisalign. La scelta dipende dalle esigenze del paziente e dal piano stabilito dal dentista.
Quanto dura un trattamento ortodontico?
La durata varia in base alla complessità del caso. Nei disallineamenti lievi può bastare un anno, mentre nei casi più complessi il percorso può durare anche due-tre anni.
L’apparecchio fa male?
Nei primi giorni è normale avvertire fastidio o pressione, soprattutto dopo le regolazioni, ma la sensazione si attenua rapidamente. Oggi i materiali moderni rendono i trattamenti molto più confortevoli rispetto al passato.
Quali benefici porta l’ortodonzia oltre all’estetica?
Un corretto allineamento dei denti migliora la masticazione, facilita l’igiene orale, riduce il rischio di carie e problemi gengivali, e previene dolori articolari o posturali legati a malocclusioni.
Ci sono differenze tra ortodonzia per bambini e per adulti?
Sì. Nei bambini si può intervenire anche sullo sviluppo delle ossa mascellari, guidando la crescita. Negli adulti invece si lavora solo sullo spostamento dei denti, ma i risultati estetici e funzionali restano eccellenti.