Protesi e Corone
Presso ES Dental Albania, comprendiamo come i denti mancanti o danneggiati possano influire sia sul tuo sorriso che sulla tua autostima. Le protesi dentali offrono una soluzione per ripristinare la funzionalità e l’estetica, donandoti un sorriso bello e completamente funzionale. Che tu stia perdendo un dente o più, le protesi dentali, come corone, ponti, dentiere e impianti, sono progettate per riportare i tuoi denti al loro stato naturale, migliorando sia il tuo aspetto che la tua salute orale.
Il nostro team di professionisti dentali qualificati è dedicato a fornire cure personalizzate per assicurarti di ricevere le migliori soluzioni protesiche in base alle tue esigenze uniche.
Perché scegliere le protesi dentali?
Le protesi dentali offrono numerosi vantaggi chiave che migliorano la salute orale e la qualità della vita complessiva:
- Ripristino della funzionalità: Le protesi aiutano a ripristinare la capacità di masticare, parlare e mangiare comodamente, cosa che spesso è compromessa da denti mancanti o danneggiati.
- Miglioramento estetico: Le protesi possono migliorare notevolmente l’aspetto del sorriso, riempiendo gli spazi vuoti e fornendo un aspetto naturale e attraente.
- Durabilità a lungo termine: Le protesi dentali, in particolare gli impianti dentali, sono progettate per essere durature e altamente resistenti, offrendo una soluzione permanente per i denti mancanti.
- Prevenire futuri problemi dentali: Sostituire i denti mancanti con le protesi può aiutare a prevenire lo spostamento di altri denti, garantendo che il morso rimanga funzionale e che la salute orale complessiva venga mantenuta.
- Aumentare la fiducia: Avere un sorriso completo e sano può migliorare notevolmente la fiducia in se stessi, permettendoti di sorridere liberamente in situazioni sociali e di sentirti bene con il tuo aspetto.
Tipi di Protesi Dentali e Materiali
Le protesi dentali sono soluzioni utili per ripristinare la funzionalità e l’estetica del sorriso, sostituendo uno o più denti mancanti. Esistono diversi tipi di protesi, scelti in base alle esigenze del paziente e alle indicazioni del dentista.
- Protesi totali (p playful) o complete: Si utilizzano quando mancano tutti i denti di una arcata. Si sostituiscono con una protesi mobile che si appoggia sulle gengive.
- Protesi parziali: Utilizzate quando alcuni denti sono ancora presenti. Sono fissate agli ultimi denti residui tramite ganci o attacchi speciali, impedendo il movimento della protesi.
- Protesi fisse: Si ancorano definitamente ai denti naturali tramite perni o corone, offrendo un aspetto naturale e maggiore stabilità.
- Impronte di Implantologia: Protesi supportate da impianti metallici inseriti nell’osso jawbone, che garantiscono maggiore stabilità e durabilità.
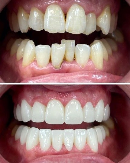
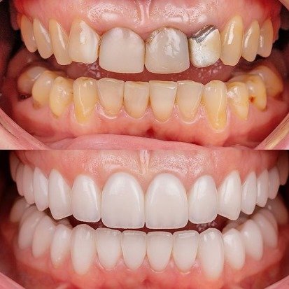
Corone Dentali: Tipologie e Materiali
Le corone dentali sono restauri protesici utilizzati per ripristinare la forma, la funzione e l’estetica di un dente gravemente compromesso, come nel caso di carie extensive, fratture o dopo trattamenti ortodontici. Esistono diverse tipologie e materiali, scelti in base alle esigenze clinicali e alle preferenze del paziente.
Tipologie di Corone Dentali
- Corone totali: Ricoprono l'intero dente, offrendo protezione e rafforzamento in caso di denti molto consumati o danneggiati.
- Corone su impianto: Fatte su impianti dentali per sostituire denti mancanti, creando un risultato estetico e funzionale.
- Corone provvisorie: Restauri temporanei utilizzati durante la fase di lavorazione delle corone definitive.
Materiali utilizzati per le Corone Dentali
- Ceramica (o zirconia): Offre un’estetica eccellente, con una traslucenza molto simile a quella dei denti naturali. Ideale per i denti anteriori o zone visibili.
- Metallo-ceramica: Combina una struttura in metallo (ad esempio lega d’oro o metallo biocompatibile) con una guaina in ceramica per un buon equilibrio tra resistenza e estetica.
- Metallo puro: Realizzate in oro o leghe metalliche, sono molto durevoli e resistenti, spesso usate per molari posteriori dove l’estetica è meno prioritaria.
- Zirconia: Un materiale ceramico molto resistente, ottimo per chi cerca un’alta estetica e durabilità, anche per le zone posteriori.
- Resina (meno comune): Utilizzata in casi di emergenza o per corone temporanee, meno resistente nel tempo.
Ripristina il Tuo Sorriso con le Protesi Dentali
Se desideri ripristinare il tuo sorriso, migliorare la tua salute orale o riconquistare la tua fiducia, le protesi dentali presso ES Dental Albania sono la soluzione perfetta. Contattaci oggi per fissare la tua consulenza e scoprire come le nostre protesi dentali possano offrirti un sorriso che dura per tutta la vita!
FAQs
Che cosa sono le corone dentali?
Le corone dentali sono rivestimenti che coprono interamente un dente danneggiato o devitalizzato, restituendogli forma, resistenza e un aspetto naturale. Possono essere realizzate in ceramica, zirconia, porcellana o metallo-ceramica.
Quando è necessario mettere una corona?
Si ricorre a una corona quando un dente è gravemente cariato, fratturato, indebolito da una devitalizzazione o quando è necessario migliorare l’estetica del sorriso in modo duraturo.
Qual è la differenza tra protesi fissa e mobile?
La protesi fissa (come corone e ponti) rimane saldamente ancorata ai denti o agli impianti ed è stabile nel tempo. La protesi mobile invece può essere rimossa dal paziente e rappresenta una soluzione per sostituire più denti mancanti in maniera meno invasiva.
Quanto dura una corona dentale?
Con una buona igiene orale e controlli regolari, una corona dentale può durare in media 10–15 anni, e in molti casi anche di più. La durata dipende dal materiale scelto e dalle abitudini del paziente.
La procedura è dolorosa?
No, la preparazione del dente e l’applicazione della corona avvengono in anestesia locale. Dopo l’intervento può esserci una lieve sensibilità, che si risolve in pochi giorni.
Quali vantaggi offrono le corone in zirconia o ceramica?
Questi materiali garantiscono un aspetto estremamente naturale, alta resistenza e ottima biocompatibilità. Sono la scelta ideale per chi cerca un risultato estetico e funzionale di lunga durata.
Le protesi e le corone richiedono cure particolari?
Non necessitano di cure speciali, ma è fondamentale mantenere una corretta igiene orale, spazzolare regolarmente, usare il filo interdentale e sottoporsi a visite periodiche dal dentista per garantirne la massima durata.